内瘘小白的第一个尺动脉内瘘
- 2023-03-03
- 5153
- 索诺星医疗科技
本人内瘘小白,今年刚开始做内瘘,从一月到现在总计内瘘不足20例,这是第一个尺动脉内瘘,希望不要见笑
男性患者,已行血液透析半年余,于外院行桡动脉头静脉内瘘成形手术,双手桡动脉均已做过。左手如图:


右手

经彩超检查,双手桡动脉内径均不足1.5mm,血流速度20cm/s,均不足30cm/s。且双侧头静脉均闭塞。(忘记留图了)在查体时突然发现患者右上肢贵要静脉如图:

移动超声神器出马!测量贵要静脉和尺动脉。

横切确定尺动脉

测量尺动脉流速(这个功能很给力)

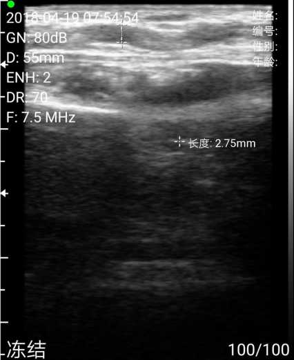
测量尺动脉直径(这里尺动脉有一个迂曲,术中有一点儿麻烦)

测量贵要静脉直径如图。均在满意范围,遂决定行右上肢尺动脉贵要静脉内瘘成形术。

尺动脉侧纵切口。

游离贵要静脉(似乎没有想象中的粗,可能是有一些痉挛)

游离尺动脉以后发现尺动脉迂曲得比较厉害。(又忘记留图了,画得不好看,意会吧)

尺动脉和贵要静脉吻合成功

吻合成功并松开动静脉血管夹以后,可触及贵要静脉震颤,但因为尺动脉迂曲,感觉尺动脉被贵要静脉向近心端拉拽,导致吻合口近心端成角较重,震颤强度总感觉不够。(又没来得及留图)

最后在A、B两点用血管缝合线把尺动脉和组织挂了两针,把吻合口成角改成尺动脉成角,减小吻合口角度,感觉震颤较前明显增强。

术后震颤及杂音均满意。


这个病例感觉最后挂的两针很有作用,还有移动超声索诺星很给力
- 上一篇:忙在“瘘”上
- 下一篇:无线探头式超声设备在麻醉科的临床意义






















网站首页
产品中心
服务支持
联系咨询