


1. 设备用途说明
用于腹部、心脏、妇科、产科、泌尿科、小器官、儿科、血管等方面的检查。
2.主要技术参数及功能:
2.1 技术平台:linux +ARM+FPGA
2.2 通道数、阵元数
物理通道数:≥64
探头阵元数:≥128
2.3 便携彩超尺寸、重量
主机尺寸:宽37cm * 高36cm * 厚15cm
包装尺寸:46cm(长) ×46cm(宽) × 31cm(高)
主机重量:8.4kg;
包装重量:12kg,含:主机+两把探头+电源线+说明书+纸箱+泡棉,
2.4 显示器
高分辨率15寸LCD显示器
2.5 全数字化成像技术
多波束合成
实时逐点动态聚焦成像
脉冲反相谐波复合成像
空间复合
图像增强降噪
2.6 成像模式
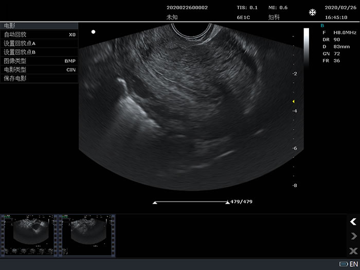
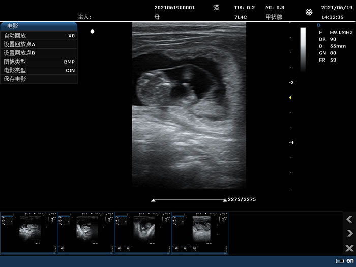
B模式
M模式
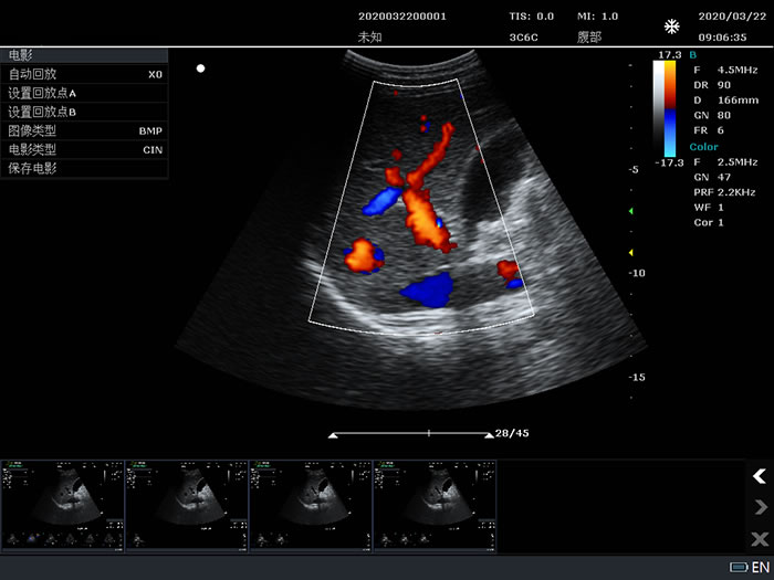
Color(彩色多谱勒)模式
PDI(能量多普勒)模式
PW(脉冲多普勒)模式
2.7 图像显示模式
B、双幅、4幅、B+M、M、B+Color、B+PDI、B+PW、PW、B+Color+PW、B+PDI+PW、B/BC双实时
2.8 支持的探头
3C6C: 3.5MHz/R60/128阵元凸阵探头;
7L4C: 7.5MHz/L38mm/128阵元线阵探头;
10L25C: 10MHz/25mm/128阵元线阵探头;
6E1C: 6.5MHz/R10/128阵元腔内探头;
6C15C: 6.5MHz/R15/128阵元微凸探头;
3C20C: 3.5MHz/R20/128阵元微凸探头;
6I7C: 6MHz/L64mm/128阵元直肠探头;
6E1C:6.5MHz/R10/128阵元可视人流探头;
2P2F: 2.5MHz/L16mm/ 64阵元低频相控阵探头;
探头频率:2.5-14.5MHz
探头插座:≥2个
2.9 支持的频率
B/M:基波频率≥3档;谐波频率≥2档;
Color/PDI: ≥2档
PW: ≥2档
2.10 电影回放
2D模式,B最大: ≥5000帧,Color, PDI最大:≥2300帧;
时间线模式(M, PW), 最大:≥ 190s
2.11 图像放大
实时扫描(B、B+C、2B、4B),状态:无极放大
2.12 图像存储
支持JPG、BMP、FRM图像格式和CIN、AVI电影格式(AVI视频压缩倍率≥30);
支持本地存储;
支持DICOM,符合 DICOM3.0标准
内置工作站:支持大容量硬盘(≥500GB),支持病人数据检索与浏览
2.13 系统语言
支持:中文/英文/西班牙语/法语/德语/捷克语/俄语,根据用户需求,可扩展支持其他语言;
全屏幕中英文注释输入,中文输入法≥2种,其中有五笔输入法;
2.14 测量计算软件包
腹部、妇科、产科、泌尿系、心脏、儿科、小器官、血管等;
2.15 电池
内置大容量锂电池,工作状态,连续工作时间≥1.5小时,屏幕提供电量显示信息
2.16 其他功能
注释:出厂默认注释库,支持添加自定义注释;
体标:体标输≥200
穿刺线、碎石线、
支持USB鼠标
3. 图像参数
3.1 B模式
灰阶映射:≥15档
噪声抑制:≥8档
帧相关: ≥8档
边缘增强:≥8档
图像增强:≥5档
空间复合:开关可调
扫描密度:高、中、低
图像翻转:上下、左右
最大扫描深度:≥320mm
3.2 M模式
扫描速度(Sweep Sleep):≥5档可调
线平均(Line Average):≥8档
3.3 PW模式
SV 大小/位置:SV大小1.0–8.0mm可调
PRF:≥16档,0.7kHz-9.3KHz可调
扫描速度(Sweep Sleep):≥5档可调
校正角度(Correction Angle):-85°~85°,步长5°
谱图翻转:开关可调
壁滤波:≥4档可调
多谱勒声音:≥20档
3.4 Color/PDI模式
PRF:≥15档,0.6KHz – 11.7KHz
彩色图谱(color map):≥4种
彩色相关:≥8档
后处理:≥4档
3.5 参数保存及恢复
支持图像参数一键保存;
支持图像参数一键复位;
4. 测量及计算
B/C模式常规测量:距离、面积、周长、体积、角度、面积比率、距离比率
M模式常规测量:时间、斜率、心率、距离
Doppler模式常规测量:心率、流速、流速比、阻力指数、搏动指数、手动/自动包络、加速度、时间、心率
产科B、PW模式应用测量:包括全面的产科径线测量、体重、单胎孕龄及生长曲线、羊水指数、胎儿生理评分测量等
妇科B模式应用测量
心脏B、M、PW模式应用测量
血管B、PW模式应用测量,支持:IMT自动内膜测量
小器官B模式应用测量
泌尿B模式应用测量
儿科B模式应用测量
腹部B模式应用测量;
5. 报告及打印
支持报告编辑、报告打印,支持报告模板;
<span style="color: rgb(83, 83, 83); font-family: "Microsoft YaHei UI", "Microsoft YaHei", SimSun, Arial, "Segoe UI", Tahoma, Helvetica, sans-serif; font-size: 14





1. 设备用途说明
用于腹部、心脏、妇科、产科、泌尿科、小器官、儿科、血管等方面的检查。
2.主要技术参数及功能:
2.1 技术平台:linux +ARM+FPGA
2.2 通道数、阵元数
物理通道数:≥64
探头阵元数:≥128
2.3 便携彩超尺寸、重量
主机尺寸:宽37cm * 高36cm * 厚15cm
包装尺寸:46cm(长) ×46cm(宽) × 31cm(高)
主机重量:8.4kg;
包装重量:12kg,含:主机+两把探头+电源线+说明书+纸箱+泡棉,
2.4 显示器
高分辨率15寸LCD显示器
2.5 全数字化成像技术
多波束合成
实时逐点动态聚焦成像
脉冲反相谐波复合成像
空间复合
图像增强降噪
2.6 成像模式
B模式
M模式
Color(彩色多谱勒)模式
PDI(能量多普勒)模式
PW(脉冲多普勒)模式
2.7 图像显示模式
B、双幅、4幅、B+M、M、B+Color、B+PDI、B+PW、PW、B+Color+PW、B+PDI+PW、B/BC双实时
2.8 支持的探头
3C6C: 3.5MHz/R60/128阵元凸阵探头;
7L4C: 7.5MHz/L38mm/128阵元线阵探头;
10L25C: 10MHz/25mm/128阵元线阵探头;
6E1C: 6.5MHz/R10/128阵元腔内探头;
6C15C: 6.5MHz/R15/128阵元微凸探头;
3C20C: 3.5MHz/R20/128阵元微凸探头;
6I7C: 6MHz/L64mm/128阵元直肠探头;
6E1C:6.5MHz/R10/128阵元可视人流探头;
2P2F: 2.5MHz/L16mm/ 64阵元低频相控阵探头;
探头频率:2.5-14.5MHz
探头插座:≥2个
2.9 支持的频率
B/M:基波频率≥3档;谐波频率≥2档;
Color/PDI: ≥2档
PW: ≥2档
2.10 电影回放
2D模式,B最大: ≥5000帧,Color, PDI最大:≥2300帧;
时间线模式(M, PW), 最大:≥ 190s
2.11 图像放大
实时扫描(B、B+C、2B、4B),状态:无极放大
2.12 图像存储
支持JPG、BMP、FRM图像格式和CIN、AVI电影格式(AVI视频压缩倍率≥30);
支持本地存储;
支持DICOM,符合 DICOM3.0标准
内置工作站:支持大容量硬盘(≥500GB),支持病人数据检索与浏览
2.13 系统语言
支持:中文/英文/西班牙语/法语/德语/捷克语/俄语,根据用户需求,可扩展支持其他语言;
全屏幕中英文注释输入,中文输入法≥2种,其中有五笔输入法;
2.14 测量计算软件包
腹部、妇科、产科、泌尿系、心脏、儿科、小器官、血管等;
2.15 电池
内置大容量锂电池,工作状态,连续工作时间≥1.5小时,屏幕提供电量显示信息
2.16 其他功能
注释:出厂默认注释库,支持添加自定义注释;
体标:体标输≥200
穿刺线、碎石线、
支持USB鼠标
3. 图像参数
3.1 B模式
灰阶映射:≥15档
噪声抑制:≥8档
帧相关: ≥8档
边缘增强:≥8档
图像增强:≥5档
空间复合:开关可调
扫描密度:高、中、低
图像翻转:上下、左右
最大扫描深度:≥320mm
3.2 M模式
扫描速度(Sweep Sleep):≥5档可调
线平均(Line Average):≥8档
3.3 PW模式
SV 大小/位置:SV大小1.0–8.0mm可调
PRF:≥16档,0.7kHz-9.3KHz可调
扫描速度(Sweep Sleep):≥5档可调
校正角度(Correction Angle):-85°~85°,步长5°
谱图翻转:开关可调
壁滤波:≥4档可调
多谱勒声音:≥20档
3.4 Color/PDI模式
PRF:≥15档,0.6KHz – 11.7KHz
彩色图谱(color map):≥4种
彩色相关:≥8档
后处理:≥4档
3.5 参数保存及恢复
支持图像参数一键保存;
支持图像参数一键复位;
4. 测量及计算
B/C模式常规测量:距离、面积、周长、体积、角度、面积比率、距离比率
M模式常规测量:时间、斜率、心率、距离
Doppler模式常规测量:心率、流速、流速比、阻力指数、搏动指数、手动/自动包络、加速度、时间、心率
产科B、PW模式应用测量:包括全面的产科径线测量、体重、单胎孕龄及生长曲线、羊水指数、胎儿生理评分测量等
妇科B模式应用测量
心脏B、M、PW模式应用测量
血管B、PW模式应用测量,支持:IMT自动内膜测量
小器官B模式应用测量
泌尿B模式应用测量
儿科B模式应用测量
腹部B模式应用测量;
5. 报告及打印
支持报告编辑、报告打印,支持报告模板;
<span style="color: rgb(83, 83, 83); font-family: "Microsoft YaHei UI", "Microsoft YaHei", SimSun, Arial, "Segoe UI", Tahoma, Helvetica, sans-serif; font-size: 14