October 16, 2012 We launch ultrasound scanner only 140g
- 2023-03-03
- 1749
- Guangzhou Sonostar Technologies Co., Limited
We launch V2 wrist ultrasound scanner, it is only 140g weight, ought is the lightest ultrasound scanner in the world.

V2 Wrist Ultrasound Scanner is consist by host, probe, external battery, hand type keyboard. The host is only 140g ought is the lightest ultrasound scanner in the world.
Product Features:
-Small portable, easy to carry,
-Hand type keyboard, facilitate single hand operation;
-Concise function, simple to operation;
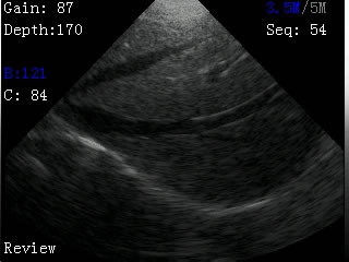
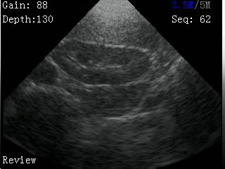
-Clear image, can be used to judgment pregnant, measuring fat;
-With probe frequency conversion function, adapted to different inspection demand;
-Battery can change easy, and for power dissipation is small so battery working time long;
-Large capacity SD card for store image (optional);
-With pseudo color display function;
-Screen with a visor, better for work under sun.
Specifications:
-Scanning system: sector sweep;
-Probe frequency: 3.5MHz/5MHz probe and can variable frequency;
-Scanning depth: ≥180mm, 70mm/110mm/130mm/150mm/192mm adjustable;
-Screen: 3.5 inches;
-Display mode: B
-Image gray scale: 256 level
-Pseudo color: 8 type
-Image store: 512 frame(by SD card)
-Measure: distance;
-Input power: dc 5V (by external battery input)
-Power consumption: 7W (probe run) /2.5W (probe stop)
-Battery work time: 10 hours
-Size: 92mm * 73mm * 42mm
-Weight: host 140g, probe 160g, battery 140g
-Probe Connector::1



Standard Configuration:
-Main Host 1 Unit
-3.5MHz/5.0MHz Mechanical Sector Selectable 1 Pcs
-Hand type keyboard 1 Pcs
-External Battery and charger 1 Set
-Arm bag (use for put battery and probe) 1 Pcs
-Pocket (use for put host, gel) 1 Pcs
-SD Store Card 1 Pcs







Arm bag(use for put battery and probe)

Pocket(use for put host, gel)











Download the catalog






Home
Product
News
Contact